ی آقای ۴۵ ساله با درد کمر ک مسکن گرفته جای دیگه و بعد دو روز از شدت درد و سرگیجه افتاد زمین و آوردنش اورژانس تنگی نفس داشت شکمش ورم کرده بود و در عرض ده دقیقه بعد از ورود به اورژانس از دنیا رفت.

دایسکشن/آنوریسم آئورت که پاره شده
چجوری کمر درد ناشی از دیسکوپاتی یا درد عضلانی رو از کمر درد ناشی از دایسکشن آئورت شکمی افتراق بدیم؟
توجه به دو مولفه :
شرح حال :
دیسکوپاتی/درد عضلانی :
تدریجی / به دنبال بلند کردن جسم سنگین / درد کم تا متوسط و بهبود با مسکن خوراکی یا تزریقی / بدتر شدن با حرکت / درد کمر با انتشار به پا / بدون علائم سیستمیک ، گاهی بی حسی یا ضعف پا
دایسکشن/پارگی آئورت شکمی
ناگهانی / شدید / عدم پاسخ به مسکن / عدم ارتباط با حرکت / درد کمر با انتشار به شکم، پهلو، کشاله ران / بروز علائم سیستمیک مثل تهوع، تعریق، سینکوپ، سرگیجه، افت فشار خون
معاینه:
دیسکوپاتی/درد عضلانی :
تست SLR مثبت / علائم حیاتی پایدار
دایسکشن/پارگی آئورت شکمی :
ممکنه توده ی ضربان دار در شکم لمس بشه و شکم متسع بشه / افت فشار ، تاکی کاردی، شوک
اگه مشکوک شدین به آنوریسم/دایسکشن آئورت شکمی باید بلافاصله سونوگرافی اورژانسی براش انجام بدین
سونوگرافی حساسیت و اختصاصیت بالای 95% داره برای تشخیص آنوریسم آئورت شکمی
قطر آئورت شکمی پایین تر از کلیه حدود ۲ سانت هست و اگه بیشتر از سه سانت باشه آنوریسم تلقی میشه
ترنسدوسر سونوگرافی رو باید عمود بر شکم بیمار بگیریم و اگه مایل بگیریم قطری ک بهمون نشون میده دقیق نیست
ترنسدوسر سونوگرافی رو باید در هر دو حالت طولی و عرضی قرار بدیم و آئورت رو ارزیابی بکنیم
ابتدای آئورت شکمی بیمار رو اگه بخوایم ببینیم سر ترنسدوسر رو در قسمت زاویه دنده ای وسط شکم بیمار قرار میدیم و مارکر ترنسدوسر به سمت راست مریض قرار میگیره
دو شاخه اصلی ک زودتر از آئورت جدا میشن شامل تنه سلیاک(که خودش به دو شاخه شریان هپاتیک و شریان طحالی تبدیل میشه) و شریان مزانتریک فوقانی هستن

(در تصویر A مارکر ترنسدوسر به سمت راست بیماره)
CHA : Common hepatic artery
SPL : Splenic artery
SMA : Superior mesentric artery
Ao : Aort
IVC : Inferior vena cava

آئورت رو ک پیدا کردی ترنسدوسر رو بیاری پایین تقریبا تا کمی بالای ناف، دو شاخه شدن آئورت به شریان های ایلیاک مشترک رو میبینی

حالا مارکر ترنسدوسر رو به سمت سر بیمار میگیریم تا نمای طولی آئورت شکمی هم ببینیم
قطر آئورت شکمی باید هم در قسمت پروگزیمال و هم دیستال ارزیابی بشه
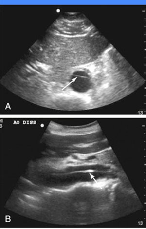
مثلا در این کیس آنوریسم در دیستال آئورت شکمی ایجاد شده عکس A نمای عرضی و B نمای طولی آئورت هست :

این هم یک کیس دایسکشن آئورت شکمی هست که فلپ با فلش نشون داده شده :

جراحی عروق اورژانسی
در بیماری که unstable هست مثل کیسی ک مطرح کردیم و پارگی آنوریسم آئورت شکمی براش مطرح هست حتی برای گرفتن سرم نباید وقت رو تلف کرد و باید فورا بره اتاق عمل
Attempts to resuscitate these patients to normalize vital signs in the ED can waste valuable time and should be avoided
Hypotensive patients need to be taken to the operating room so that the aorta can be clamped or occluded with a balloon and hemorrhage stopped
حتی طبق روزن تجویز iv fluid به فردی ک مشکوک به پارگی آنوریسم آئورت شکمی هست میتونه خونریزی رو تشدید کنه ، چون خود افت فشار خودش باعث کاهش خونریزی میشه و باعث ایجاد لخته برا جلوگیری از خونریزی میشه
Correction of hypotension before the aorta is clamped may not improve mortality and may even be harmful because hypotension slows bleeding in patients with AAA and allows local clot formation and tamponade of the rupture site
ولی از طرفی افت فشار زیاد هم میتونه باعث هیپوکسی شدید بیمار و end organ damage بشه پس طبق روزن میتونیم مقدار کمی iv fluid برای این دسته بیماران اوردر کنیم(بخصوص اگه کمی طول بکشه فرستادن بیمار به اتاق عمل)
In the prehospital setting and the ED, the blood pressure should be raised with crystalloid, or preferably blood products, only to a level that maintains adequate cerebral and myocardial perfusion to prevent irreversible end-organ damage
ترجیح اینه که فشار سیستولیک رو 70 تا 90 نگه داریم
An arbitrary blood pressure goal cannot be specified because the blood pressure necessary for vital organ perfusion varies among patients, but a reasonable target for this permissive hypotension is a systolic blood pressure of 70 to 90 mm Hg
(در کیس دایسکشن آئورت هم که باید فشار رو پایین آورد ترجیحا با بتابلاکر مثل آمپول لابتالول معمولا 20mg آهسته وریدی)
وقتی قراره پک سل(خون) زیادی به مریض بدیم باید به ازای هر واحد پک سل یه واحد FFP و یه واحد پلاکت بدیم
و اگه پلاکت در دسترس نباشه موقتا به ازای هر 2 واحد پک سل یه واحد FFP بدیم
نکته دیگه اینکه وقتی 4 واحد به بالا پک سل به بیمار میدیم بخاطر سیترات بالا بیمار دچار هایپوکلسمی میشه و حواسمون به این مورد باید باشه و در صورت لزوم کلسیم گلوکونات باید بدیم بهشون