پایگاه تخصصی مدکیس بانک؛ راهکار علمی برای تشخیص درست و درمان مؤثر
بانک کیسهای پزشکی برای دانشجویان رزیدنتها پزشکان
در دنیای امروز پزشکی، سرعت و دقت در تصمیمگیری بالینی حیاتی است و جستوجو در منابع پراکنده و ناقص وقتگیر و پرخطاست. مدکیس بانک با هدایت علمی دکتر خنجری در سال ۱۴۰۴ راهاندازی شد تا مرجعی تخصصی و قابل اعتماد برای پزشکان، دانشجویان پزشکی و فعالان حوزه سلامت فراهم کند. هر کیس پزشکی در مدکیس بانک شامل علائم، سابقه، نتایج آزمایش، تشخیص نهایی و جزئیات درمان است و بهصورت دقیق و ساختارمند ارائه میشود. این پلتفرم با گردآوری و طبقهبندی دادهها، دسترسی سریع به اطلاعات علمی و قابل اتکا را ممکن میسازد، دقت تشخیص را افزایش میدهد و مسیر یادگیری و تصمیمگیری بالینی را هموار میکند.
دسته بندی کیسها
کیس های پزشکی
نقرس (Gout)
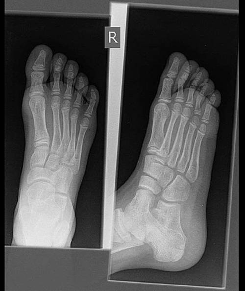
آقای ۳۵ ساله
🙎🏽♂️: خانم دکتر داشتم راه میرفتم پام گیر کرد به فرش افتادم زمین بعد اون شست پام درد گرفت که کم کم شدید شد دردش. الان انقد شدیده نمیتونم درست راه برم

👩🏻⚕️ سابقه بیماری خاصی نداری؟ گوشت قرمز زیاد نمیخوری؟
👨🏼گوشت زیاد میخورم . سابقه بیماری ندارم
بیا این عکس رو بگیر :
_right foot xray AP&Lateral

👩🏻⚕️ خب گرافی شما نرماله
شدت دردت خیلی زیاد هست شاید علت دردت چیز دیگه ای هست
بیا این آزمایش هم انجام بده.
CBCdiff BUN Cr ESR CRP Uric acid
جواب آزمایشات درخواستی نرمال بجز اوریک اسید بالا
…
رایگان
درماتیت آتوپیک (Atopic dermatitis)
دختر 11 ساله برای بثورات خارش دار ثابت که صورت، گردن، تنه و اندامها رو درگیر کرده، به کلینیک پوست اطفال مراجعه میکنه.
این دختر توسط متخصص اطفال خودش با تشخیص درماتیت آتوپیک (AD) درمان شده. براش کرم هیدروکورتیزون 2.5 درصد موضعی تجویز شده بود که به کنترل علائم کمکی نکرده.

مادرش میگه علیرغم استفاده از نرمکنندهها و هیدروکورتیزون، در طول مدرسه به دلیل خارش نمیتونه تمرکز کنه.
از نظر PMH : آسم متناوب متوسط و رینیت آلرژیک و مادرش سابقه قوی آسم را در خانواده خودش بدون هیچ مشکل پوستی گزارش می کنه.
در معاینه فیزیکی، خشکی گسترده پوست همراه با نواحی پلاک های سفت اگزمایی، که خیلی از اونا با بریدگی های ثانویه و هیپوپیگمانتاسیون هستند، وجود دارن
…
اپی گلوتیت حاد
ی خانم ۳۰ ساله :
👩🏻🦳آقای دکتر تب(۳۹ درجه) و گلو درد دارم از دیروز طوری ک نمیتونم غذا قورت بدم
تو این دو روز فقط کمی مایعات تونستم بخورم
وقتی هم که دراز میکشم نفس تنگی پیدا میکنم
🧑🏻⚕️الان که ایستادین ک تنگی نفس ندارین؟
👩🏻🦳 نه آقای دکتر ندارم
👨🏻⚕️دهنتو باز کن ته حلق ت رو ببینم
خب ته حلقش نه اریتم هست نه اگزودا , زبان کوچک و تونسیل هاش هم بزرگ نشده
در معاینه لمس غضروف کریکوئیدش دردناک هست
![]()
همچنین لیمفادنوپاتی قدامی گردن داره

دیسترس تنفسی واضح و ترشح بزاق از دهنش هم نداره و علائم حیاتی ش هم استیبل هست پس میتونم بفرستمش رادیولوژی و آزمایش خون هم ازش بگیرم
عکس رادیولوژی لترال گردنش :

لکوسیتوز داره تو آزمایشاتش wbc : 20
با ارجحیت (PMN(88% (در حالی که نرمالش 50 تا 70 درصد هست)
…
رایگان
مزایای استفاده از مدکیس بانک
استفاده آموزشی برای دانشجویان پزشکی
به راحتی با مطالب کوتاه آموزش ببین
کیسهای واقعی با تحلیل تخصصی
بررسی بیماران کاملا واقعی
بهروزرسانی منظم و دستهبندیشده
بروز رسانی دقیق و منظم
مناسب برای رزیدنتها و اساتید دانشگاه
مناسب برای همه سن ها آموزشی
سوالات متداول
چرا اشتراک بخرم؟
شما با خرید اشتراک از سایت مدکیس بانک به صدها کیس تخصصی درباره بیماری ها مختلف دسترسی پیدا میکنید.
کیسها از کجا تهیه شدن؟
تمامی کیس های موجود در سایت مدکیس بانک توسط افراد متخصص و پزشک های با تجربه نوشته شده اند و تمامی کیس های یک بیماری واقعی که به پزشکان ما مراجعه کردهاند هستند.
آیا دسترسی به همه کیسها رایگان است؟
خیر شما میتوانید فقط چندین کیس را برای نمونه به صورت رایگان مشاهده کنید ولی برای دیدن کیس های بیشتر باید اشتراک مورد نظر خود را تهیه کنید.
پس از خرید اشتراک، چه امکاناتی دارم؟
شما با خرید اشتراک از سایت مدکیس بانک به صدها کیس تخصصی که توسط افراد با تجربه نوشته شده اند دسترسی پیدا میکنید و میتوانید به تمامی مطالب مورد نیاز خود بعد از خرید اشتراک از سایت ما درسترسی پیدا کنید و مطالب موجود را یاد بگیرید.
هر چند وقت یکبار کیسهای جدید منتشر میشود؟
برای ارائه کیس جدید باید یک بیمار جدید به پزشکان ما مراجعه کنند و پس از بررسی و درمان بیمار کیس جدید در سایت قرار میگیرد.
آیا امکان پرسش یا بحث درباره کیسها وجود دارد؟
بله شما میتوانید به راحتی از راه هایی که در سایت مدکیس بانک قرار گرفته است با ما ارتباط برقرار کنید و تمامی مواردی که میخواهید بدانید را از ما بپرسید.





